Petit arrachement osseux de la malléole externe : causes, symptômes et traitements

découvrez les symptômes, causes et traitements de l'arrachement osseux de la malléole externe, une blessure fréquente nécessitant une prise en charge adaptée pour une récupération optimale.

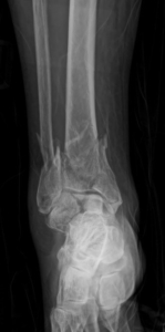
Les blessures de la cheville sont fréquentes, notamment chez les sportifs et les personnes actives. Parmi ces blessures, le petit arrachement osseux de la malléole externe se distingue comme un traumatisme spécifique souvent méconnu mais crucial à diagnostiquer précocement pour éviter des complications à long terme. Cette lésion survient au niveau de la face latérale de la cheville, affectant une partie de l’os appelée malléole externe, ou processus latéral du péroné. Elle peut résulter d’un choc direct, d’une torsion excessive ou d’une entorse grave. Ces mécanismes provoquent une douleur intense localisée, accompagnée souvent d’un gonflement notable qui limite la mobilité.

Comprendre les nuances de ce type d’arrachement osseux est essentiel pour orienter un traitement efficace : de l’immobilisation complète par attelle ou botte à la chirurgie orthopédique dans les cas sévères. La rééducation joue un rôle fondamental dans la récupération fonctionnelle et la prévention des récidives. Par ailleurs, différencier ce traumatisme d’une simple entorse ou d’une fracture de la cheville plus étendue nécessite une évaluation clinique rigoureuse complétée par des examens d’imagerie adaptés.

En 2026, la prise en charge de ces lésions s’appuie sur des protocoles affinés associant médecine du sport et kinésithérapie, intégrant parfois des techniques innovantes pour réduire les délais de récupération. Ainsi, la connaissance approfondie des causes, symptômes et options thérapeutiques pour un arrachement osseux de la malléole externe demeure indispensable tant pour les professionnels que les patients souhaitant préserver la santé articulaire de leur cheville.

Les causes les plus fréquentes du petit arrachement osseux de la malléole externe

Le petit arrachement osseux de la malléole externe est généralement provoqué par un traumatisme aigu. Ce type de blessure survient souvent lors d’événements impliquant une sollicitation excessive, un choc brusque ou une torsion violente au niveau de la cheville. Les activités sportives sont fréquemment à l’origine de ces accidents, en particulier dans les sports de contact, la course à pied, ou encore les pratiques impliquant des changements rapides de direction, comme le football ou le basketball.

Dans des situations où la cheville subit un étirement dépassant la résistance normale des ligaments et des attaches osseuses, un fragment osseux peut se détacher. Ce mécanisme est toujours étroitement lié à une entorse sévère, qui peut endommager non seulement les ligaments mais aussi les points d’insertion osseux. Une entorse de la cheville avec arrachement osseux est ainsi un scénario classique qui demande une attention particulière et souvent un suivi spécialisé.

En dehors de la pratique sportive, ce type de fracture de la cheville peut aussi survenir dans le cadre d’un accident domestique ou professionnel, surtout lorsqu’il y a une chute ou un choc latéral violent. Par exemple, une chute sur un terrain irrégulier, une réception maladroite après un saut, ou un traumatisme dû à un accident de la route peuvent provoquer ce type de lésions. La malléole externe, en raison de sa position anatomique, est particulièrement exposée.

Il est important de noter que certains facteurs individuels peuvent augmenter le risque d’arrachement osseux à la malléole externe. Une fragilité osseuse liée à l’ostéoporose ou à une mauvaise qualité osseuse peut rendre l’os plus susceptible de se fracturer. De même, un antécédent de lésions à la cheville ou des anomalies mécaniques comme un pied creux ou une laxité ligamentaire chronique peuvent favoriser ce type de traumatisme.

Pour mieux appréhender ces causes, voici une liste des situations à risque pour un petit arrachement osseux de la malléole externe :

  • Sports impliquant des impacts ou torsions rapides (football, basketball, handball)
  • Chute sur une surface irrégulière ou accident domestique
  • Accident de la route ou chute de hauteur
  • Antécédents d’entorses à répétition
  • Conditions médicales affaiblissant la solidité osseuse (ostéoporose, carence en vitamine D)
  • Mauvaise posture ou déséquilibre biomécanique du membre inférieur

Ces éléments doivent inciter à une vigilance accrue et à une évaluation précoce devant toute douleur latérale de la cheville après traumatisme. Un diagnostic prompt est essentiel pour orienter le traitement, empêcher la progression vers une instabilité chronique et éviter la transformation en fracture de la cheville plus complexe.

découvrez tout sur l'arrachement osseux de la malléole externe : causes, symptômes, traitements et conseils pour une guérison optimale.

Symptômes caractéristiques du petit arrachement osseux à la malléole externe

Les manifestations cliniques d’un arrachement osseux de la malléole externe sont souvent franches, même si elles peuvent parfois être confondues avec une entorse banale. La douleur est le symptôme majeur, rapidement ressentie après le traumatisme. Elle est localisée à l’extérieur de la cheville, précisément au niveau de la malléole externe. Cette douleur sera aggravée par la mobilisation, en particulier lors de la mise en charge du membre touché ou lors de mouvements de rotation ou d’inversion du pied.

Un gonflement important accompagne fréquemment la douleur, souvent visible dès les premières heures suivant l’accident. Cet œdème traduit la réaction inflammatoire locale et peut s’étendre vers le pied et la face latérale de la jambe. Parfois, des ecchymoses apparaissent également, témoignant de la rupture de petits vaisseaux sanguins liés au traumatisme osseux et ligamentaire.

La mobilité de la cheville est souvent limitée. Le patient éprouve une sensation d’instabilité et peut avoir du mal à poser le pied au sol, ce qui constitue un signe d’alarme justifiant une consultation urgente. Dans certains cas, une déformation légère peut être observée, indiquant un déplacement du fragment osseux.

Il est important de différencier cette présentation symptomatique d’une simple entorse, car le traitement et la récupération varient considérablement. Une entorse sans arrachement ne compromet pas la continuité osseuse et peut être gérée par une immobilisation courte et une rééducation adaptée. En revanche, un arrachement osseux exige souvent un protocole plus rigoureux.

A lire aussi :  Déroulement d'une bili irm : ce qu'il faut savoir

Pour résumer les symptômes clés :

  • Douleur intense et localisée à la malléole externe
  • Gonflement marqué autour de la cheville
  • Ecchymoses et rougeurs en périphérie
  • Limitation fonctionnelle et difficulté à la mise en charge
  • Sensations d’instabilité de la cheville
  • Eventuelle déformation locale associée

Face à ces signes, le recours à des examens complémentaires devient indispensable. Une radiographie standard de la cheville est généralement suffisante pour confirmer la présence d’un petit arrachement osseux. Dans certains cas, un scanner ou une IRM peuvent être demandés pour évaluer l’étendue des lésions ligamentaires associées ou la qualité du fragment osseux

Les options de traitement adaptées au petit arrachement osseux de la malléole externe

Le traitement du petit arrachement osseux de la malléole externe est une étape déterminante qui conditionne la récupération fonctionnelle de la cheville. Il dépend principalement de la taille du fragment osseux, de son degré de déplacement, ainsi que des lésions ligamentaires associées. Une évaluation précise par imagerie et l’expertise médicale sont donc nécessaires.

Pour les cas non déplacés ou peu déplacés, une immobilisation constitue la première ligne thérapeutique. L’usage d’une attelle ou d’une botte plâtrée permet de stabiliser la cheville et de limiter la mobilité, favorisant ainsi la consolidation osseuse naturelle. Cette phase d’immobilisation dure généralement entre quatre et six semaines. Le repos relatif est conseillé, avec une interdiction de la mise en charge, ou alors une mise en charge partielle selon le jugement du praticien.

La rééducation commence après la période d’immobilisation et est essentielle pour retrouver la force, la souplesse et l’équilibre de la cheville. Des exercices spécifiques sont réalisés sous l’encadrement d’un kinésithérapeute, visant à restaurer la fonctionnalité articulaire et prévenir les récidives. La durée de cette rééducation varie, mais elle peut s’étendre sur plusieurs semaines.

Dans les situations où le fragment osseux est déplacé ou associée à une instabilité majeure, une intervention chirurgicale devient nécessaire. La chirurgie orthopédique permet de repositionner et d’immobiliser le fragment à l’aide de vis ou de plaques, assurant ainsi une meilleure stabilité et une guérison optimale. Le choix chirurgical est discuté en fonction des risques et bénéfices et doit être guidé par un spécialiste expérimenté dans les lésions de la cheville.

Le tableau ci-dessous synthétise les principales options de traitement en fonction des critères cliniques :

Type de lésion Traitement recommandé Durée approximative Risques associés
Arrachement osseux non déplacé Immobilisation par attelle/botte + rééducation 4-6 semaines (immobilisation) + 6-8 semaines (rééducation) Raideur, faiblesse musculaire
Arrachement déplacé Chirurgie orthopédique + immobilisation + rééducation 6-8 semaines (consolidation) + 8-12 semaines (rééducation) Infection, complications chirurgicales, instabilité
Entorse simple sans arrachement Repos, compression, mobilité précoce 2-4 semaines Récidive, instabilité chronique

Pour approfondir la compréhension de la durée de récupération suite aux traumatismes ligamentaires, il est pertinent de consulter des ressources spécialisées comme celle traitant de la durée de rupture ligamentaire de la cheville, qui détaille l’évolution classiquement observée.

L’importance de la rééducation post-traumatique et prévention des récidives

Une fois la phase aiguë passée, la rééducation représente le pilier fondamental pour restaurer la fonction normale de la cheville et prévenir les complications à long terme. Cette phase doit être progressives, adaptée à la tolérance du patient, et encadrée par un spécialiste en kinésithérapie du sport. Elle implique une récupération à la fois musculaire, proprioceptive, et fonctionnelle.

La rééducation comprend plusieurs axes essentiels :

  • Renforcement musculaire ciblé des muscles stabilisateurs de la cheville pour optimiser la tenue articulaire
  • Exercices proprioceptifs pour améliorer l’équilibre et la coordination neuromusculaire
  • Mobilisations douces pour restaurer l’amplitude articulaire normale
  • Travail fonctionnel mimant les gestes de la vie quotidienne ou sportive

Une négligence de cette étape peut conduire à une instabilité chronique, source fréquente de nouvelles entorses ou douleurs prolongées. L’effet domino de l’absence de prise en charge adéquate peut aussi favoriser l’apparition d’une gêne articulaire chronique ou des lésions dégénératives précoces.

Un exemple concret illustre bien l’enjeu : un sportif amateur victime d’un arrachement osseux de la malléole externe ayant bénéficié d’un traitement conservateur sans rééducation adaptée a développé une instabilité latérale répétée de la cheville. Cette situation a progressivement limité ses performances et nécessité un recours chirurgical différé, plus invasif.

Pour sécuriser la récupération, il est crucial d’adopter une hygiène de vie adaptée, y compris un respect scrupuleux des consignes de repos et des phases de reprise. La prévention inclut aussi le port éventuel d’une chevillère lors des activités à risques, notamment chez les personnes avec historique de blessures.

Pour en savoir plus sur les méthodes spécifiques pour prendre en charge un arrachement osseux de la cheville, les ressources spécialisées en médecine du sport apportent des pistes concrètes.

Les conséquences potentielles d’un arrachement osseux mal pris en charge et signes d’alerte

Un petit arrachement osseux de la malléole externe ne doit jamais être minimisé. Lorsqu’il est mal diagnostiqué ou traité de manière inadéquate, il génère un risque élevé de complications qui peuvent compromettre durablement la mobilité de la cheville. Ces séquelles peuvent inclure notamment :

  • Instabilité chronique de la cheville, source de traumatismes répétés
  • Arthrose précoce de l’articulation tibiotarsienne
  • Douleur persistante chronique, impactant la qualité de vie
  • Déformation secondaire de la cheville
  • Récidive d’entorses graves entraînant d’autres lésions ligamentaires

La persistance ou l’apparition de certains signes doit encourager la consultation rapide pour réévaluation. Parmi ces signes d’alerte figurent :

  • Douleur importante qui ne diminue pas après plusieurs jours
  • Gonflement évolutif ou inhabituel
  • Impossibilité à poser le pied au sol
  • Sensation d’instabilité répétée ou de blocage articulaire
  • Déformation visible ou augmentation de la taille de la malléole

Ces symptômes témoignent souvent d’un processus évolutif défavorable, nécessitant un bilan complémentaire et parfois un traitement chirurgical correctif. Un suivi régulier chez un spécialiste en orthopédie ou en médecine du sport est indispensable.

Le tableau suivant met en perspective les complications courantes et leurs conséquences :

Complication Description Conséquences possibles
Instabilité chronique Perte de stabilité ligamentaire et osseuse Récidive d’entorses, douleurs chroniques, difficultés fonctionnelles
Arthrose post-traumatique Dégénérescence progressive du cartilage articulaire Douleurs à long terme, diminution de la mobilité
Douleur persistante Inflammation chronique ou lésions non consolidées Limitation des activités quotidiennes et sportives
Déformation Mauvaise consolidation ou déplacement du fragment Esthétique et fonction perturbées

Qu’est-ce qu’un petit arrachement osseux de la malléole externe ?

C’est une fracture partielle où un fragment osseux se détache de la malléole externe suite à un traumatisme violent, souvent associé à une entorse.

Comment différencier un arrachement osseux d’une entorse simple ?

L’arrachement osseux provoque une douleur plus intense, un gonflement important et une limitation plus sévère de la mobilité que l’entorse simple. Une radiographie permet de confirmer le diagnostic.

Quel est le traitement principal en cas d’arrachement osseux non déplacé ?

L’immobilisation par attelle ou botte plâtrée associée à une période de rééducation progressive est la prise en charge standard.

Quand la chirurgie orthopédique est-elle nécessaire ?

Elle est indiquée en cas de fragment osseux déplacé ou de complications ligamentaires majeures entraînant une instabilité.

Comment prévenir les récidives après un arrachement osseux de la cheville ?

Une rééducation adaptée, le renforcement musculaire, le travail proprioceptif, ainsi que le port éventuel de protections lors d’activités à risque sont essentiels pour prévenir les récidives.

Retour en haut