L’imagerie par résonance magnétique (IRM) pelvienne est aujourd’hui un examen médical incontournable pour un diagnostic précis des affections touchant la région pelvienne. Grâce à sa technologie avancée, elle permet une visualisation détaillée des organes et des tissus mous sans exposition aux rayonnements ionisants. Cette technique mise au point et perfectionnée au fil des décennies est devenue essentielle pour évaluer des pathologies telles que les troubles gynécologiques, les maladies prostatiques, les affections du rectum, ou encore les anomalies osseuses pelviennes.
Ce guide complet propose d’explorer en détail le déroulement d’une IRM pelvienne, en intégrant l’ensemble des étapes, de la préparation à l’interprétation des résultats. Il aborde également les aspects de sécurité pour le patient ainsi que les conseils pratiques permettant d’optimiser la qualité de l’examen. Face à la complexité du pelvis et la variété des organes concernés, l’IRM offre une qualité d’images exceptionnelle facilitant un diagnostic fin et une meilleure prise en charge médicale.
En bref :
- IRM pelvienne : visualisation non invasive des organes pelviens grâce à un champ magnétique puissant.
- Préparation IRM : instructions spécifiques à suivre pour garantir un examen efficace et sécurisé.
- Déroulement IRM : étapes clés et posture à adopter lors de l’examen pour assurer la qualité des images.
- Sécurité patient : précautions liées aux implants, allergies au produit de contraste et confort pendant l’examen.
- Interprétation résultats : rôle du radiologue et implications des images obtenues pour le diagnostic pelvien.
Fondamentaux de l’IRM pelvienne : principes et indications médicales
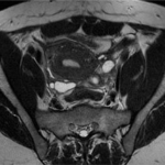
L’IRM pelvienne s’appuie sur le principe de l’imagerie par résonance magnétique, une méthode qui utilise un puissant champ magnétique et des ondes radio pour obtenir des images précises des structures internes du bassin. Contrairement à la radiographie ou au scanner, elle ne repose pas sur les rayons X, ce qui en fait une technique sûre et sans radiation pour le patient.
Les indications sont vastes et concernent autant la femme que l’homme, ainsi que les personnes souffrant de douleurs inexpliquées ou présentant des anomalies visibles sur d’autres examens. Par exemple, chez la femme, cette IRM est souvent demandée pour diagnostiquer des fibromes utérins, des kystes ovariens, des endométrioses, ou encore évaluer l’état après une chirurgie pelvienne. Chez l’homme, l’intérêt principal réside dans l’analyse de la prostate, permettant d’évaluer les suspicions de cancer ou d’inflammation.
L’IRM pelvienne s’avère également précieuse pour analyser la région rectale, détecter des abcès ou des malformations, et permet de cartographier les masses pelviennes de manière sûre et détaillée. Cette technique est également privilégiée dans l’évaluation des affections osseuses pelviennes comme les lésions du sacrum ou du bassin, grâce à la qualité de délimitation des tissus mous adjacents.
Les avancées récentes en IRM pelvienne
En 2026, les nouveaux modèles d’IRM bénéficient d’améliorations significatives tant au niveau du champ magnétique que des logiciels d’analyse. L’apparition de techniques dites multiparamétriques a renforcé le potentiel de l’examen en permettant d’obtenir des couches fines d’images et des informations fonctionnelles en plus de l’aspect morphologique. Cette avancée facilite la distinction entre tissus sains et pathologiques, améliorant ainsi considérablement l’exactitude du diagnostic pelvien.
De plus, la rapidité des acquisitions a été optimisée, réduisant la durée de l’examen, ce qui favorise le confort du patient tout en diminuant les risques d’artefacts liés aux mouvements. Ces évolutions placent l’IRM pelvienne comme un outil central dans l’arsenal diagnostique des maladies pelviennes.

Préparation IRM pelvienne : conseils et précautions indispensables avant l’examen médical
La préparation avant une IRM pelvienne est cruciale pour garantir des images de qualité et le confort du patient. En amont, le radiologue ou le technicien en radiologie informe sur les contraintes et prépare le patient aux exigences spécifiques de l’examen. Parmi les préparatifs essentiels, figure l’absence de tout objet métallique — montres, bijoux, piercings, ou prothèses amovibles — pouvant altérer la qualité des images et poser un risque de sécurité.
La nécessité de respecter certaines consignes alimentaires ou hydriques est aussi fréquemment mentionnée. Par exemple, il est souvent recommandé d’éviter de manger ou boire quelques heures avant l’examen, surtout si un produit de contraste est prévu. Chez certaines patientes, une vessie partiellement remplie améliore la visualisation des organes pelviens, par conséquent le personnel demande parfois de ne pas uriner juste avant l’IRM.
Les patients présentant une claustrophobie peuvent se voir proposer une prise en charge spécifique, incluant un accompagnement psychologique ou l’utilisation de sédatifs légers. Par ailleurs, il est indispensable de signaler toute présence d’implant cardiaque, pompe à insuline, neurostimulateur, ou autres dispositifs compatibles ou non avec le champ magnétique.
Les produits de contraste : quand et pourquoi ?
Dans certains cas, l’utilisation d’un agent de contraste est nécessaire pour améliorer la définition des structures et détecter des lésions tumorales, inflammatoires ou infectieuses. Ce produit injectable à base de gadolinium est généralement bien toléré, mais son emploi est contre-indiqué en cas d’insuffisance rénale sévère. Un bilan préalable des reins est alors indispensable.
Cette étape d’injection est réalisée dans la salle d’examen par le personnel paramédical, qui veille à la surveillance du patient tout au long de l’examen. La préparation s’achève par un briefing final sur les consignes à respecter pendant l’IRM, notamment rester immobile et signaler toute gêne via un système de communication interne.
Déroulement IRM pelvienne : étape par étape vers un examen réussi
Le déroulement d’une IRM pelvienne se déroule suivant un protocole strict, garantissant la qualité de l’imagerie et la sécurité du patient. À l’arrivée dans le service de radiologie, le patient est accueilli et invité à déposer tous ses effets métalliques. Un consentement éclairé est recueilli, il est rappelé des modalités de l’examen.
Le patient est ensuite installé confortablement sur la table d’examen, souvent muni d’un dispositif spécialement adapté pour immobiliser la région pelvienne. La table glisse doucement dans le tunnel de l’IRM où se trouve l’aimant. Il est essentiel durant tout le temps de rester immobile pour éviter les flous sur les images.
Les séquences d’acquisitions, qui durent généralement entre 20 et 45 minutes, sont ponctuées de bruits répétés, souvent décrits comme des coups ou des vibrations, dus à l’activation des gradients magnétiques. Un casque ou des bouchons sont souvent fournis pour préserver le confort auditif.
Les différentes phases de l’examen
L’examen commence par des acquisitions en coupes standards pour avoir une vue d’ensemble des organes pelviens. S’ensuivent des images plus spécifiques, réalisées selon la pathologie recherchée, modulant les paramètres d’acquisition – pondération T1, T2, diffusion, etc. En cas d’injection de produit de contraste, de nouvelles séquences sont réalisées pour mettre en lumière les tissus anormaux.
À la fin de l’examen, la table revient en position initiale et le patient peut se relever progressivement. Un temps de repos est parfois conseillé, surtout après l’utilisation du gadolinium.
Sécurité patient et imagerie pelvienne : normes et recommandations incontournables
La sécurité du patient lors d’une IRM pelvienne est un aspect primordial encadré par des normes strictes en radiologie. L’absence de rayonnement ionisant constitue déjà une base sécurisante, mais plusieurs points sont vérifiés avant, pendant et après l’examen pour limiter au maximum les risques.
Tout d’abord, la recherche systématique de contre-indications, notamment sur les antécédents d’implants métalliques incompatibles. La compatibilité des pacemakers et autres dispositifs implantés fait l’objet d’un contrôle rigoureux avant prise en charge. Par ailleurs, l’utilisation du produit de contraste repose sur un protocole précis incluant le dépistage des allergies et l’évaluation de la fonction rénale.
Le confort et la surveillance du patient sont assurés par une communication permanente entre le patient et le manipulateur via l’interphone intégré à la machine. En cas de malaise ou de gêne, l’examen peut être interrompu immédiatement.
Gestion des risques et amélioration continue
Les établissements pratiquant l’IRM sont soumis à des audits réguliers, visant à garantir la conformité aux standards européens et internationaux. Ces audits permettent d’actualiser les pratiques et d’intégrer les innovations en matière de sécurité. Ainsi, les personnels formés à la radiologie s’engagent dans une démarche qualité continue, mettant le patient au cœur de la prise en charge.
Cette vigilance accrue permet de réduire les incidents et d’optimiser l’expérience de l’examen pour chaque patient. La sécurité lors de l’IRM pelvienne n’est donc pas qu’une obligation réglementaire, mais un véritable engagement professionnel au service de la santé.
Interprétation des résultats IRM pelvienne : comprendre le diagnostic pelvien
Après l’examen, le radiologue analyse minutieusement les images obtenues à la recherche de signes pathologiques ou anomalies. Cette étape est cruciale pour aboutir à un diagnostic pelvien fiable. Le rapport d’IRM décrit les observations en termes d’anatomie, structure tissulaire, présence de masses, inflammations, ou modifications suspectes.
Le professionnel de santé doit maîtriser les nuances apportées par les différentes séquences pour distinguer, par exemple, un simple kyste bénin d’une tumeur ou détecter des signes précoces d’endométriose. Une corrélation avec l’historique médical du patient enrichit la lecture des images, ouvrant la voie à une orientation thérapeutique personnalisée.
Suivi et recours thérapeutiques
Les résultats peuvent orienter vers différents types d’interventions : surveillance régulière, traitements médicamenteux, ou interventions chirurgicales. Parfois, une seconde IRM peut être prescrite pour suivre l’évolution d’une lésion détectée ou valider l’efficacité d’un traitement entrepris.
Les progrès en techniques multiparamétriques encouragent aujourd’hui une médecine plus ciblée, où la précision diagnostique impacte directement la qualité des soins apportés. Dans tous les cas, la communication claire entre le radiologue, le médecin prescripteur et le patient est essentielle afin que les conclusions du rapport soient comprises et intégrées dans le parcours de soins.
Quiz : Comprendre l’IRM pelvienne
- Respecter les consignes de préparation pour une qualité optimale des images.
- Informer systématiquement le personnel médical en cas d’implants ou contra-indications.
- Rester immobile tout au long de l’examen pour éviter les artefacts.
- Signaler toute gêne ou malaise immédiatement.
- Discuter des résultats avec le radiologue pour un suivi adapté.
| Phase de l’examen | Durée approximative | Objectif | Confort patient |
|---|---|---|---|
| Installation et préparation | 5-10 minutes | Positionnement optimal et explications | Assis ou allongé, surveillance du confort |
| Acquisitions initiales | 15-20 minutes | Images de base pour repérage | Immobilité requise, bruits de la machine |
| Injection produit de contraste (si nécessaire) | 5 minutes | Améliorer la définition des lésions | Surveillance post-injection |
| Acquisitions complémentaires | 10-15 minutes | Détailler les anomalies spécifiques | Confort et immobilité à maintenir |
Est-ce que l’IRM pelvienne est douloureuse ?
Non, l’IRM pelvienne est un examen indolore. Seuls le bruit et la position statique peuvent créer un certain inconfort.
Combien de temps dure une IRM pelvienne ?
La durée varie généralement entre 20 et 45 minutes selon la complexité et l’utilisation de produit de contraste.
Peut-on passer une IRM pelvienne avec un pacemaker ?
Cela dépend du modèle du pacemaker. Certains sont compatibles IRM, mais il faut impérativement en informer le médecin et le radiologue.
Faut-il être à jeun avant l’examen ?
Cela dépend des consignes données, mais généralement, il est demandé d’éviter de manger quelques heures avant, notamment si un produit de contraste est prévu.
Quels sont les risques liés au produit de contraste ?
Les réactions allergiques sont rares. Le produit est contre-indiqué en cas d’insuffisance rénale sévère, d’où la nécessité d’un bilan préalable.




